Răng Nào Thích Hợp Sử Dụng Mặt Dán Sứ Veneer
1. Mặt dán sứ Veneer sẽ phát huy tối đa hiệu quả đối với các trường hợp nào?
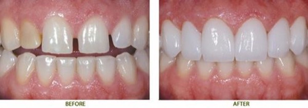
- Răng bị đổi màu, bao gồm ố vàng tự nhiên nặng, nhiễm Tetra, Fluoride, không thể tẩy trắng bằng phương pháp thông thường.
- Răng bị mòn cạnh, răng ngắn
- Răng không đều, lệch nhẹ, hình dáng thất thường
- Bị nứt, vỡ, mẻ không quá 1/3 răng
- Răng thưa, kẽ hở giữa các răng không quá lớn.
- Và tất cả những ai muốn có một hàm răng đẹp hơn, thẩm mỹ hơn.

Gọi ngay tới tổng đài tư vấn miễn phí 093 267 22 32 của Nha Khoa SEN khi cần cung cấp bất kỳ thông tin nha khoa nào.
2. Mặt dán sứ Veneer có bền không?
- Tuổi thọ của mặt dán sứ Veneer có thể kéo dài tới 10 năm. Thời gian cụ thể phụ thuộc vào kỹ thuật chế tạo mặt dán sứ, tay nghề của nha sĩ thực hiện và chế độ chăm sóc răng miệng của bạn.
- Mặt dán sứ Veneer không mài nhiều răng, bảo tồn răng thật tối đa, răng thật sẽ trở thành điểm tựa khi mặt sứ được dán vào, đảm bảo độ bền.
- Thành phần tạo nên mặt dán sứ Veneer là Zirconia, là một chất liệu tốt, có độ cứng, độ chịu lực hàng đầu trong ngành răng sứ thẩm mỹ, đảm bảo ăn nhai thoải mái, lâu dài.
- Keo dùng để cố định mặt dán sứ vào răng là keo dán nha khoa chuyên dụng, chất lượng cao, độ kết dính tuyệt vời, giúp mặt dán sứ không bị bong tróc trong quá trình sử dụng.

3. Cách kéo dài tuổi thọ cho mặt dán sứ Veneer
- Vệ sinh răng miệng thường xuyên, đúng cách. Dùng chỉ nha khoa để lấy hết vụn thức ăn giữa các kẽ răng, tránh tích tụ vi khuẩn gây ra các bệnh lý răng miệng.
- Nướu đóng vai trò ôm sát mặt dán sứ, cần sử dụng bàn chải mềm mại để tránh gây tổn thương nướu.
- Hạn chế ăn các thực phẩm quá cứng, quá nóng hay quá lạnh.
- Không sử dụng lực răng quá mạnh như dùng để mở nắp chai hay tước mía…

Muốn sở hữu nụ cười rạng ngời, tự tin, quyến rũ? Đặt lịch hẹn với Nha Khoa SEN Tại đây.