Răng Cửa Mọc Lệch Dán Veneer Được Không?
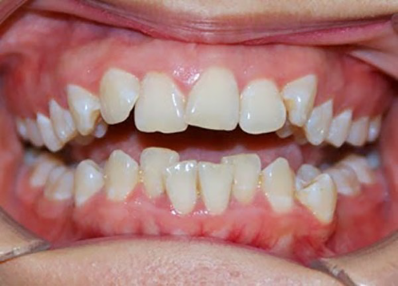
1. Các trường hợp răng cửa mọc lệch
- Mọc lệch hình chữ V: 2 răng cửa mọc bị vênh so với các răng kế bên, chỗ cạnh tiếp giáp của 2 răng cửa trũng xuống như hình chữ V, hay còn gọi là răng cánh bướm.
- Mọc lộn xộn, không đều: răng mọc lệch ra ngoài hoặc vào trong cung hàm.
- Răng mọc nghiêng: Thay vì mọc thẳng thì răng xoay nghiêng qua một bên.
- Mọc chìa ra ngoài: Một phần chân răng hoặc cả chân răng vẫn nằm trên cung hàm, nhưng thân răng phát triển to hơn và chìa ra ngoài.

2. Nguyên nhân không thể dán sứ Veneer cho răng lệch nghiêm trọng
- Bản chất của mặt dán sứ Veneer chỉ như một lớp bảo hộ mỏng trên bề mặt răng, có tác dụng che phủ các khuyết điểm. Dán sứ Veneer không ảnh hưởng đến cấu trúc răng, càng không thể điều chỉnh khớp cắn của răng. Vì vậy nếu dán sứ cho răng lệch thì răng đó cũng không thể hết lệch.
- Khớp cắn sai lệch sẽ tác dụng lực không đều trong quá trình ăn nhai, có thể khiến mặt dán sứ Veneer dễ bị bong tróc, nứt, vỡ.
- Răng lệch gây ra nhiều khe hở giữa các răng, tạo điều kiện vi khuẩn hình thành và phát triển, gây các bệnh răng miệng.
- Khi bị viêm nướu, các mô nâng đỡ và cố định răng không còn vững chắc, không ôm sát răng, ảnh hưởng tuổi thọ của mặt dán sứ Veneer.
Phương án tối ưu giải quyết tình trạng răng mọc cửa tương đối lệch lạc là bọc răng sứ, trong trường hợp răng mọc lệch cực kỳ nghiêm trọng thì nên niềng răng để đạt được hiệu quả tốt nhất.

Trò chuyện với nha sĩ của K-Da Dentist Tại đây hoặc liên hệ hotline 19002231 để được tư vấn hoàn toàn miễn phí.