Mặt Dán Sứ Veneer Có Thật Sự Tốt Như Quảng Cáo?
Không thể phủ nhận, những năm gần đây hầu hết các nha khoa thẩm mỹ đều lựa chọn mặt dán sứ Veneer là giải pháp thẩm mỹ hiệu quả giúp khắc phục tình trạng răng xỉn màu, ố vàng hay răng thưa, hở kẽ, sứt mẻ nhẹ mang lại cho bạn một hàm răng đều đặn và trắng sáng rạng ngời. Tuy nhiên cũng chính vì vậy mà các Nha khoa thẩm mỹ “thi nhau” chạy bài quảng cáo về mặt dán sứ Veneer khiến cho nhiều người đọc có cảm giác bị “bội thực” thông tin và hoang mang không biết đâu đúng đâu sai và chưa thật sự yên tâm. Vậy câu hỏi được đặt ra là: Vậy mặt dán sứ Veneer có thật sự tốt như quảng cáo? Hãy cùng Nha khoa SEN giúp bạn hiểu rõ hơn lợi ích mà giải pháp này mang lại để không bỏ lỡ cơ hội sở hữu một nụ cười rạng rỡ nhé!

Trước khi đi tìm hiểu về ưu điểm của mặt dán sứ Veneer mang lại thì các bạn cần phải hiểu rõ mặt dán sứ Veneer là gì? Mặt dán sứ Veneer là miếng dán được làm từ 100% sứ rất mỏng có độ dày trung bình từ 0.1mm đến 0.6mm. Chúng được dán lên mặt ngoài của răng thật bằng hệ thống keo dán và cement chuyên biệt giúp tái tạo lại hình dạng và màu sắc của răng như mong muốn của từng khách hàng và hoàn toàn không gây cộm, cấn, không bị bong, tróc hay rớt ra ngoài trong quá trình sinh hoạt hàng ngày.

1. Mặt dán sứ Veneer mang đến hàm răng trắng sáng hoàn hảo

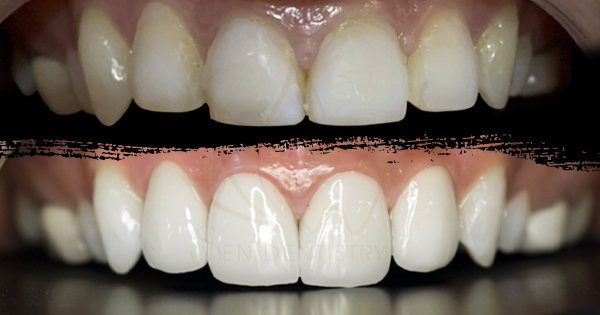
Chất liệu mặt dán sứ Veneer được chế tạo từ khối sứ nguyên chất cao cấp, có màu sắc trắng tự nhiên, độ trong và độ thấu quang như răng thật nên mang lại vẻ thẩm mỹ cao. Với bảng màu đa dạng, mỗi khách hàng khi sử dụng dịch vụ mặt dán sứ Veneer có thể tha hồ lựa chọn màu sắc sao cho phù hợp với mong muốn hay màu sắc của răng thật. Vì vậy về thẩm mỹ, có thể nói mặt dán sứ Veneer là giải pháp hàng đầu cho những ai muốn sở hữu một hàm răng trắng sáng, đều đẹp tự nhiên.
2. Hạn chế mài răng – Bảo tồn răng thật tối đa

Về kỹ thuật khi thực hiện phương pháp dán sứ Veneer, đây được xem là điểm khác biệt và cải tiến nhất của mặt dán sứ Veneer so với các phương pháp bọc răng sứ thông thường. Kỹ thuật dán sứ Veneer chỉ phải thực hiện sửa soạn một phần men răng ở mặt ngoài của răng và tỷ lệ mài rất ít chỉ từ 0.1 đến 0.5mm thâm chí không cần mài với những trường hợp răng tương đối đều, với tỷ lệ này ít hơn nhiều so với những phương pháp làm răng thông thương trước đây. Giải thích cho kỹ thuật sửa soạn sơ bên ngoài bề mặt trước của răng đó là giúp tạo độ bám dính tốt giữa mặt dán sứ Veneer và thân răng.
Do đó, phần lớn men răng và các mô nhạy cảm xung quanh răng hoàn toàn không bị tổn hại, sự sống của răng sẽ không bị ảnh hưởng nhiều. Bên cạnh đó, dán sứ Veneer chỉ mài mặt ngoài nên sẽ không cần phải lấy tủy và không làm thay đổi khớp cắn, vì thế không gây bất cứ đau đớn hay ê buốt, khó chịu nào cho răng cả trong và sau quá trình làm răng.

3. Đảm bảo chức năng ăn nhai – Hiệu quả bền lâu

Như đã nói nhiều ở phần trên, mặt dán sứ Veneer rất mỏng và kỹ thuật dán sứ hoàn toàn không tác động nhiều đến cấu trúc của răng, không xâm lấn tủy, vì thế mà các chức năng ăn nhai của răng đều được diễn ra bình thường. Với độ mỏng của mặt dán sứ Veneer thì khi gắn vào răng, sẽ không làm bạn cảm thấy vướng víu, cộm cấn hay khó chịu khi ăn nhai thức ăn. Đặc biệt, hệ thống keo dán và cement chuyên biệt chắc chắc sẽ giúp giữ miếng dán sứ Veneer được nguyên vẹn trên răng, không lo sợ hiện tượng bong, tróc hay rớt ra ngoài trong suốt quá trình sinh hoạt hàng ngày.
Về vấn đề độ bền và tuổi thọ của mặt dán sứ Veneer, đây cũng là điều mà rất nhiều người lo lắng và quan tâm khi quyết định lựa chọn giải pháp này. Bởi vì trên thực tế, chi phí để thực hiện mặt dán sứ Veneer được đánh giá là cao hơn so với chi phí thực hiện các phương pháp bọc răng sứ thông thường khác nên nếu đã “chi trả” cho một khoảng khá lớn những chỉ để sử dụng trong một thời gian ngắn cũng là điều khiến nhiều người e ngại. Với việc sử dụng cement chuyên biệt dành riêng trong nha khoa, cùng với kỹ thuật hiện đại, mặt dán sứ Veneer có độ bền và tuổi thọ sử dụng lên đến hơn 20 năm, thậm chí là trọn đời nếu biết chăm sóc đúng cách. Tại Nha khoa SEN với đội ngũ tay nghề Bác sĩ có chuyên môn cao và nhiều năm kinh nghiệm trong nghề tự tin luôn đem đến cho khách hàng đã thực hiện đều rất hài lòng với hiệu quả thẩm mỹ mà mặt dán sứ Veneer đem lại.
4. Lựa chọn mặt dán sứ Veneer tại Nha khoa SEN
Nha khoa SEN tự hào là đơn vị đi đầu trong lĩnh vực phục hình răng sứ thẩm mỹ với hơn 2.000 case thẩm mỹ nha thành công. Đội ngũ Bác sĩ tại Nha khoa có 15 năm kinh nghiệm trong nghề cùng trình độ chuyên môn cao sẽ tiến hành thăm khám trước rồi sau đó sẽ tư vấn phương pháp phục hình răng phù hợp với tình trạng răng cũng như điều kiện của bạn. Quy trình dán sứ Veneer tại Nha khoa SEN sẽ được thực hiện bằng công nghệ hiện đại giúp quá trình được diễn ra nhanh chóng và an toàn tuyệt đối. Cam kết không ảnh hưởng nhiều cuộc sống cũng như công việc của bạn. Đến với Nha khoa SEN, bạn sẽ được trải nghiệm cảm giác răng miệng đang được chăm sóc và “làm đẹp” như ở trong “spa”, hoàn toàn thoải mái và êm dịu.


Đặc biệt, tin vui dành cho những khách hàng đăng ký vào thời điểm này, Nha khoa SEN hỗ trợ và thăm khám miễn phí về vấn đề răng miệng, cùng chương trình khuyến mãi hấp dẫn cho các dịch vụ mặt dán sứ Veneer lên đến 40%. Hãy đến với Nha khoa K-Da để được đội ngũ y Bác sĩ chăm sóc răng miệng cho bạn nhé!
Gọi ngay 093 267 22 32 hoặc Chat Facebook với Bác sĩ để đặt lịch tư vấn miễn phí, Nha Khoa SEN - Smile Design sẽ làm tất cả để đổi lấy nụ cười và sự hài lòng của bạn.