Inlay, Onlay và Overlay
Khi răng bên trong của bạn gặp phải trường hợp bị sứt, mẻ do chấn thương, sâu răng nặng, bị mòn bề mặt răng (hay còn gọi là răng bị mất chất), … dẫn đến tình trạng làm mất thẩm mỹ của răng miệng và gặp khó khăn khi ăn, nhai. Tuy nhiên, phương pháp trám răng thông thường sẽ không giúp khắc phục hoàn toàn tình trạng mô răng đã bị mất. Vì thế, Inlay, Onlay, Overlay chính là giải pháp tốt nhất giúp bạn phục hồi lại cấu trúc mô răng bị hư hại.
Phục hình Inlay là gì?
Inlay là một phần răng mới được làm bằng chất liệu sứ, composite siêu cứng hoặc kim loại, tạo ra sự phục hồi và thẩm mỹ gần như với răng gốc trước khi bị hư hại. Inlay được dùng trong trường hợp răng bị vỡ/tổn thương trên một bề mặt.

Phục hình Onlay là gì?
Onlay cũng có cấu tạo từ chất liệu như Inlay và được áp dụng trong trường hợp răng bị tổn thương rộng hơn từ 2 bề mặt răng trở lên nhưng không được vượt quá đỉnh múi răng.

Phục hình Overlay là gì?
So với 2 phương pháp Inlay và Onlay, thì Overlay được dùng trong trường hợp phục hồi các mô răng bị tổn thương rộng và có nguy cơ xâm lấn gần như toàn bộ răng.

Ưu điểm của Inlay, Onlay và Overlay
Bảo tồn mô răng tối đa
Khi sử dụng phương pháp phục hồi Inlay, Onlay và Overlay, các Bác sĩ hạn chế tối đa mài mô răng của bạn mà chỉ mài một ít, do đó mô răng tự nhiên ban đầu lành mạnh sẽ được bảo tồn tối đa, vì thế hoàn toàn không gây cảm giác đau nhức hay ê buốt, khôi phục tình trạng ăn nhai tốt hơn. Đây chắc chắn sẽ là 1 lựa chọn tuyệt vời nếu như răng bạn đang bị sâu.
Tính thẩm mỹ
Do cả Inlay, Onlay và Overlay đều được làm bằng chất liệu là sứ với công nghệ CAD/CAM. Vì thế, mang đến cho người dùng tính thẩm mỹ lâu dài, không bị đổi màu như những miếng trám composite thông thường. Ngoài ra, bởi đặc tính được tạo hình ở ngoài miệng nên hình dạng của răng phục hồi giống với hình dạng răng giải phẫu ban đầu, hơn rất nhiều so với miếng trám răng bằng phương pháp thông thường.
Se khít tối đa
Bác sĩ sẽ gắn vào răng bằng chất gắn nên sẽ giảm được tình trạng co ngót hơn so với hàn composite. Mối hàn thông thường dễ gây hở kẽ và sâu tái phát. Đặc biệt đối với các lỗ sâu mặt bên thì Inlay, onlay có thể đảm bảo sự sát khít cùng tính liên tục giữa miếng dán và mô răng ở thành lợi nơi mà rất khó tạo được sự liên tục khi hàn răng thông thường.
Cứng chắc và ổn định
Inlay, Onlay và Overlay giúp bảo vệ răng và là giải pháp tuyệt vời để phục hồi răng sâu hoặc mất chất. Đảm bảo độ bền vững theo thời gian và có tính ổn định cao.
Bảo vệ răng yếu
Đặc biệt, Inlay, Onlay và Overlay thậm chí giúp tăng cường độ vững chắc và sức mạnh cho răng của bạn hơn cả răng thật, giúp người dùng thể thoải mái ăn, nhai mà không cần kiêng cử.
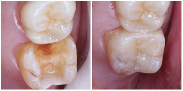
.jpg)
Đây là hình ảnh trước và sau khi phục hình bằng phương pháp Inlay, Onlay và Overlay tại Nha Khoa Quốc Tế K-Da
Tùy vào tình trạng tổn thương của răng, vị trí và chức năng của răng bị tổn thương,… mà Bác sĩ tại Nha khoa Quốc Tế K-Da sẽ giúp Bạn tư vấn nên thực hiện phương pháp Inlay, Onlay hay Overlay là phù hợp. Có thể nói, giải pháp Inlay,Onlay và Overlay, việc bảo tồn những chiếc răng bị hư hỏng trở nên dễ dàng và đơn giản hơn rất nhiều so với trước đây. Và từ nay, Bạn không còn lo sợ mình sẽ bị mất răng hay phải dùng đến hàm răng giả nữa vì trong những giới hạn cho phép, phương pháp này hoàn toàn có thể giúp Bạn giữ lại những chiếc răng thật của mình một cách khoa học và đảm bảo nhất.
Tại Nha Khoa Quốc Tế K-Da, Inlay, Onlay và Overlay được làm bằng chất liệu sứ tốt nhất và được thiết kế bằng kỹ thuật CAD/CAM đảm bảo tái tạo được hình dáng tự nhiên của răng, phục hồi gián tiếp lên răng sâu, khít sát tuyệt đồi và bền chắc.
Nha Khoa Quốc Tế K-Da cung cấp thông tin và giải đáp tất cả các thắc mắc của khách hàng hoàn toàn miễn phí qua tổng đài 0906 421 688 hoặc trò chuyện trực tiếp với bác sĩ qua Messenger