Vôi Răng - Sát Thủ Của Sức Khỏe Răng Miệng
Vôi răng được hình thành như thế nào?
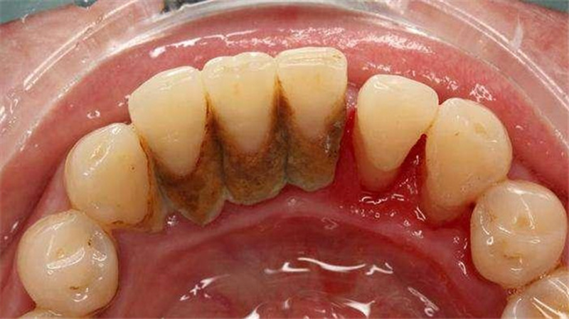
Quá trình vệ sinh răng miệng không kỹ càng, những vụn thức ăn sót lại sẽ kết hợp với vi khuẩn tạo thành mảng bám trên răng. Sau một thời gian mảng bám sẽ biến thành vôi răng bám chặt vào răng. Chỉ có thể loại bỏ khi tới nha khoa.
Tác hại của vôi răng
- Cản trở vệ sinh răng miệng: Vôi răng bám chặt vào cổ răng trong thời gian dài khiến răng và nướu không thể được làm sạch.
- Gây ra các bệnh lý răng miệng: Vôi răng có thể hình thành ở ngay nướu, gây kích ứng, viêm nướu, chảy máu chân răng, sâu răng…
- Hôi miệng: Trên bề mặt của vôi răng luôn có vi khuẩn, vi khuẩn lên men đường trong thức ăn tạo thành axit tàn phá men răng và gây mùi hôi khó chịu.
- Viêm nha chu: Nha chu có tác dụng nâng đỡ và giữ ổn định răng trên cung hàm. Khi nha chu bị viêm, các mô sẽ bị suy yếu dẫn tới răng bị lung lay thậm chí mất răng.
- Mất thẩm mỹ: Vôi răng xốp nên dễ bắt màu. Khi sử dụng những loại thực phẩm sậm màu hoặc uống trà, café hay hút thuốc, lớp vôi răng sẽ sậm màu rõ rệt.

Hotline tư vấn miễn phí 093 267 22 32 hoặc Trò chuyện qua Messenger
Biện pháp ngăn ngừa sự hình thành vôi răng
- Đánh răng 2 lần/ngày với kem đánh răng có chưa fluor
- Không hút thuốc. Những người hút thuốc lá có khả năng hình thành cao răng nhiều hơn người khác.
- Sử dụng chỉ nha khoa để loại bỏ vụn thức ăn ngay sau khi ăn.
- Lấy vôi răng mỗi 6 tháng tại các nha khoa uy tín.

Đặt hẹn qua Messenger để trải nghiệm dịch vụ cạo vôi răng chất lượng, nhẹ nhàng, êm ái tại Nha Khoa SEN.