Răng Sứ Và Những Điều Có Thể Bạn Chưa Biết
Khi nào cần bọc răng sứ?
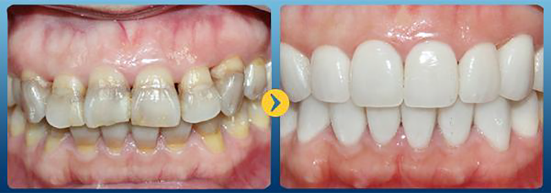
- Răng mọc lệch lạc, khấp khểnh, hô, móm.
- Mất răng, răng sứt mẻ, gãy, vỡ, chết tủy.
- Răng bị nhiễm màu nặng, răng đen, ố vàng, đổi màu do nhiễm hóa chất không thể tẩy trắng thông thường.
- Răng không đồng đều, so le, thưa, ngắn, xấu.

Bọc răng sứ có tốt không?
Với sự phát triển từng ngày, công nghệ răng sứ hiện nay đã có thể tạo ra những chiếc răng với độ trong mờ, khúc xạ và xuyên sâu ánh sáng giống như răng thật. Đồng thời răng sứ có phổ màu đa dạng, phù hợp với mọi tông màu răng tự nhiên, độ bền cao gấp 4 – 5 lần răng thật, tuổi thọ kéo dài hàng chục năm thậm chí là vĩnh viễn. Vì vậy bọc răng sứ là phương án tối ưu khi bạn không hài lòng về màu sắc, hình dáng, tình trạng răng của bản thân và mong muốn có một nụ cười tự tin, xinh đẹp hơn.

Trò chuyện qua Messenger với các nha sĩ của Nha Khoa Quốc Tế K-Da để được tư vấn những dòng răng sứ tốt nhất hiện nay.
Những trường hợp nào không được bọc răng sứ?
Chất liệu cấu tạo răng sứ hoàn toàn vô hại đối với sức khỏe người sử dụng, kể cả những người có tiền sử bệnh tiểu đường, cao huyết áp. Đối với những người bị bệnh tim, nha sĩ sẽ sử dụng thuốc giảm đau và thuốc tê tạo cảm giác dễ chịu, thoải mái, không gây hồi hộp cho người bệnh. Trường hợp mắc chứng máu khó đông vẫn có thể bọc răng sứ, chỉ cần trong quá trình thực hiện, nha sĩ lưu ý không gây tổn hại tới nướu của người bệnh.
Bọc răng sứ đem lại những lợi ích gì?
- Trả lại hình dạng hoàn chỉnh cho những trường hợp răng sâu, gãy, mẻ, hư hỏng nặng. Phục hồi lại các chức năng của răng.
- Điều chỉnh lại khớp cắn ngay ngắn, đúng vị trí, tránh tình trạng xô lệch răng.
- Răng sứ được chế tạo khớp với hàm răng của mỗi người, hạn chế kẽ hở giữa các răng, vi khuẩn sẽ không có điều kiện sinh sôi và tạo ra những vấn đề răng miệng.
- Khắc phục hoàn toàn các khuyết điểm, cho bạn một hàm răng đều, đẹp, sáng bóng.
Gọi ngay 0906 421 688 để đặt lịch hẹn hoặc chat trực tiếp với bác sĩ qua Messenger.