Những trường hợp nào nên dán răng sứ Veneer?
Ông bà ta vốn có câu: “Cái răng cái tóc là góc con người”. Chính vì vậy, để sở hữu một hàm răng đẹp mà không ít người đã tìm đến những phương pháp thẩm mỹ răng tối ưu hiện nay. Trong đó, nổi trội cần phải kể đến kỹ thuật dán răng sứ Veneer. Tuy nhiên, mặc dù đây là một trong những phương pháp thẩm mỹ cho răng hiệu quả. Nhưng nó cũng chỉ được áp dụng cho một số trường hợp nhất định.
Vậy nên, hãy để Nha Khoa SEN giúp bạn tìm hiểu những trường hợp nào nên sử dụng kỹ thuật dán răng sứ Veneer nhé.

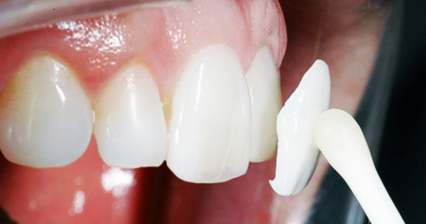
Răng sứ Veneer là gì?
Răng sứ Veneer được xem như là một chiếc mặt nạ hoàn hảo để che phủ lên vùng răng thật của bạn. Mục đích của nó không chỉ giúp khôi phục lại vẻ đẹp trắng tự nhiên cho răng. Mà lại chẳng gây bất kỳ ảnh hưởng xấu nào đến chức năng của răng thật.
Khi tiến hành phương pháp này, các bác sĩ sẽ dán các mặt sứ veneer lên bên trên bề mặt của răng thật. Mặt sứ Veneer được làm bằng một loại sứ siêu mỏng, có bề dày chỉ khoảng từ 0.3 – 0.7mm. Bằng cách sử dụng một loại keo đặc biệt, mà răng sứ sẽ dính liền với mặt trước của răng để thay đổi hình dạng, màu sắc, cũng như kích thước theo khuôn mẫu của răng sứ.
Phương pháp này được thực hiện nhanh chóng và hoàn toàn không gây ê buốt, đau đớn nên được rất nhiều người yêu thích và ưa chuộng. Tuy nhiên, như chúng tôi đã nói ở trên. Phương pháp dán răng sứ Veneer chỉ dành riêng cho một số trường hợp nhất định.

Những trường hợp được chỉ định nên dán răng sứ Veneer
Răng bị thưa, hở ở mức độ nhẹ
Mặc dù không ảnh hưởng đến chức năng ăn nhai nhưng răng bị thưa, bị hở lại rất thiếu thẩm mỹ. Đặc biệt, nếu bạn không chăm sóc răng hay vệ sinh răng cẩn thận. Thì thức ăn còn thừa lại sẽ mắc lại trên những răng bị thưa, hở đó và dễ gây nên tình trạng hôi miệng. Nghiêm trọng hơn là có thể gây nên các bệnh viêm nhiễm.
Khá nhiều bệnh nhân khi gặp trường hợp này thường lựa chọn phương pháp trám răng thông thường. Tuy nhiên, trám răng sẽ khiến cho phần răng không được đồng đều về màu sắc và còn hay bị bong tróc. Chính vì vậy mà phương pháp dán sứ Veneer là một sự lựa chọn hiệu quả.
Răng bị nứt, mẻ ở mức độ nhẹ
Tình trạng răng bị nứt, mẻ chủ yếu bởi một số những nguyên nhân sau: Bị sâu răng, cấu trúc răng yếu do thiếu canxi, trong quá trình ăn nhai dùng lực mạnh,... Lúc này, ngay khi răng bị nứt, mẻ ở mức độ nhẹ. Thì chúng tôi khuyên bạn nên dán răng sứ Veneer. Bởi nếu không, vi khuẩn trong răng sẽ phát triển nhanh chóng và gây nên những hậu quả nghiêm trọng cho răng.
Răng bị móm, hô ở mức độ nhẹ
Khi cấu trúc xương của bạn hoàn toàn bình thường mà phần răng lại mọc chỉa ra ngoài. Thì tình trạng này gọi là răng bị móm, hô ở mức độ nhẹ. Thế nên, thay vì đeo niềng răng suốt một thời gian dài và phải kiêng cữ trong rất nhiều món ăn. Thì tại sao bạn không nên chọn giải pháp dán răng sứ để mang lại hiệu quả cực kỳ nhanh chóng.
Răng bị xỉn màu
Thuốc lá, cà phê, trà, vệ sinh răng miệng không sạch sẽ,.... là một trong những nguyên nhân thường thấy làm cho răng bị tối, xỉn màu. Nhiều người thường tìm đến phương pháp tẩy trắng răng để loại bỏ những mảng bám tối màu này. Tuy nhiên, đây chỉ là giải pháp tạm thời và nếu bạn cứ tiếp tục lặp lại các thói quen cũ. Thì phương pháp này sẽ không còn hiệu quả nữa.
Vậy nên, phương pháp dán sứ Veneer là một biện pháp hữu hiệu. Nó không chỉ giúp bạn có được một hàm răng trắng sáng như mới. Mà còn giúp bạn ngăn ngừa và đánh bay những tác động xấu bên ngoài khiến răng của bạn bị xỉn màu nhanh chóng.
Men răng bị bào mòn
Nhiều người thường không nhận ra rằng men răng của mình bị bào mòn. Vậy nên, chúng tôi sẽ cung cấp cho bạn một số biểu hiện khi men răng bị bào mòn. Cụ thể như: Răng bị đổi màu và lộ ra lớp ngà răng màu vàng. Hoặc tình trạng răng bị ê buốt khi ăn những thực phẩm chua, lạnh hay nóng.
Nguyên nhân chủ yếu khiến men răng bị mòn là do những thói quen xấu như: Vệ sinh không đúng cách, nghiến răng khi ngủ, ăn quá nhiều món ăn và nước uống có acid, ăn thực phẩm nhiều đường, đậm màu khiến cho men răng bị bào mòn đi nhanh chóng.
Do đó mà mặt dán sứ Veneer lúc này chính là một pha cứu cánh không thể hoàn hảo hơn dành cho bạn. Nó có vai trò như một lớp “khiên bào” giúp bảo vệ các mô răng thật phía trong. Từ đó hạn chế tình trạng men răng bị mòn và răng bị hư tổn một cách thấp nhất.

Vậy là thông qua bài viết trên, các bạn hẳn đã định hình cho mình được những trường hợp nào nên dán răng sứ Veneer rồi đúng không. Tuy nhiên, để xác định chính xác tình trạng răng miệng của mình có phù hợp để sử dụng phương pháp này hay không. Chúng tôi vẫn khuyên bạn tốt nhất nên đến Nha Khoa SEN để thăm khám và được các y bác sĩ tư vấn cho bạn một cách chi tiết nhất nhé.