Giải Pháp Phục Hình Răng Khi Bị Tiêu Xương Hàm
1. Các nguyên nhân dẫn tới mất răng
- Tuổi tác: Càng lớn tuổi, chức năng răng miệng càng suy giảm, một số loại thuốc dành cho người già như chống trầm cảm, lợi niệu, histamin… ảnh hưởng tới khả năng tiết nước bọt, giảm quá trình làm sạch răng tự nhiên, khiến răng dễ dàng suy yếu.
- Các bệnh lý răng miệng: hư tủy, sâu răng… khiến răng bị yếu dần, những mô có tác dụng cố định, nâng đỡ răng không thực hiện tốt chức năng bảo vệ răng. Tình trạng này kéo dài sẽ dẫn tới mất răng.
- Thường xuyên ăn các loại thức ăn mềm: Cũng giống như việc không tập thể dục, cơ thể sẽ trở nên yếu đuối, đề kháng kém, việc thường xuyên chỉ ăn các loại thức ăn mềm sẽ tạo thành thói quen cho răng, khiến khả năng ăn nhai và chịu lực của răng kém dần.
- Tụt nướu: Trong một thời gian dài, vôi răng sẽ ảnh hưởng và khiến nướu dần tụt xuống, liên kết giữa nướu với răng trở nên lỏng lẻo, tách dần ra khỏi xương hàm.
2. Tại sao xương hàm lại bị tiêu biến khi mất răng
Quá trình ăn nhai hàng ngày, răng tác động một lực đều đặn, có tác dụng kích thích xương hàm, giúp xương duy trì được mật độ và hình dạng. Khi răng mất đi, lực tác động này cũng mất theo, lâu dần sẽ khiến xương bị tiêu biến.

Trò chuyện với với Nha Khoa K-Da Tại đây để được tư vấn miễn phí.
3. Phương pháp phục hình răng khi bị tiêu xương hàm
Cấy ghép Implant: Bạn hoàn toàn vẫn có thể cấy ghép Implant khi tiêu xương hàm, nhưng bắt buộc phải phẫu thuật ghép xương hàm trước đó.

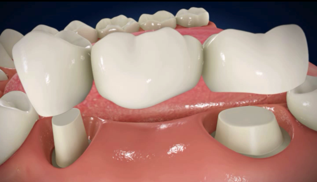
Làm cầu răng sứ: Nếu mất ít răng, có thể mượn tạm răng thật ở hai bên để bắc cầu răng sứ cho vị trí răng bị mất. Nhưng hiệu quả của cầu răng sẽ phụ thuộc vào răng trụ.

Hàm giả tháo lắp: Thích hợp cả khi mất nhiều răng, thậm chí toàn hàm. Ưu điểm chi phí rẻ, nhưng tuổi thọ không cao, hiệu quả thẩm mỹ không tốt.
Đặt lịch thăm khám tại Nha Khoa Quốc Tế K-Da qua Hotline 0906 421 688 để được miễn phí tư vấn phương pháp phục hình phù hợp nhất với bạn.